她缺失一部分大脑却能正常生活,完成研究生学业还精通两种语言
梦晨 发自 凹非寺
量子位 | 公众号 QbitAI
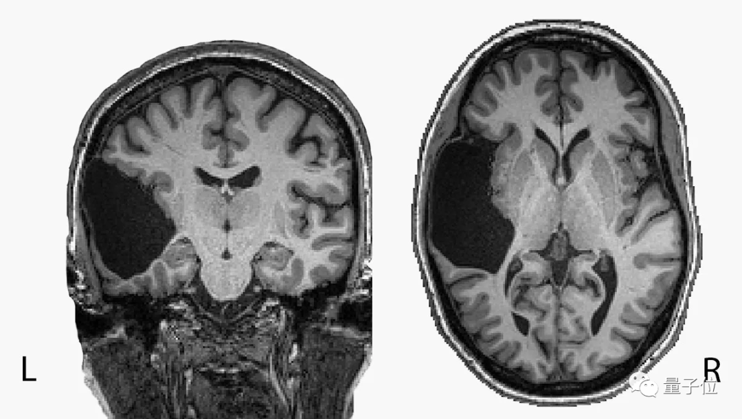
她活到25岁,才发现自己的左脑缺了一大块。
本来应该是左颞叶(temporal lobe)的地方现在只有液体,另外脑干也不完整。
但她的生活似乎没有受到任何影响,不仅正常地完成了研究生学业,甚至还精通两门语言,母语英语和俄语。
对于惯用右手的普通人来说,左颞叶正是承担语言理解功能的主要脑区。
同样惯用右手的她,语言能力非但没有受损,还在语言IQ测试中排进前2%。
就这样,她带着缺损的大脑生活到了50多岁。
人生中遇到的很多医生,都在一遍一遍地告诉她,这种情况根本不合理。
其中一位医生甚至对她的特殊感到恼火,对她说你本应时不时发作癫痫,或者词汇量超不过小学5年级水平。
就有一种“学了那么多年的医学理论,怎么到你这就失效了”的感觉。
医生们的这种态度也经常让她不爽。
终于,她在2016年主动联系了MIT的脑科学团队,自愿成为研究对象。
一是想弄清楚自己到底怎么回事,同时也很乐于为科学做贡献。
现在, 关于她的第一篇论文终于在线发表,并即将刊登在SCI期刊Neuropsychologia(神经心理学)上。
为了保护隐私,她在论文中化名为EG。
揭开大脑语言功能更多秘密
正常情况下,完整的语言能力需要两个脑区合作完成。
位于颞叶的韦尼克区的韦尼克区 (Wernicke’s Area)和位于额叶的布洛卡区 (Broca’s Area)。
科学上分别对两个脑区的研究有了不少进展,但对两个脑区如何产生联系、如何合作的还知之甚少。
由于颞叶的韦尼克区的发育要早,有一个假设是:韦尼克区是否是布洛卡区发育的前提?
人类在1-3岁时语言区就会发育成熟,但对婴儿脑部做fMRI扫描很困难。
而EG的出现,正是研究这一假设的绝佳机会。
实验过程也不复杂,准备一些正常的英语句子,和一些能拼读出来但不是真实单词组成的句子。
比如这种:
让EG和其他脑部完整的参与者默读这些句子,测量他们的脑部活动。
结果发现EG的额叶相比两个对照组,对语言刺激没有反应,对算数等其他任务有正常反应。
△对照组CG1:母语是英语,CG2:母语非英语
根据EG的实验结果,可初步验得出颞叶语言区是额叶语言区出现的必要条件。
也再次证实,人类的一个半脑足以支撑完整的语言能力。
姐姐缺右颞叶,也能正常生活
这篇论文背后,EG身上还有更多谜团待解开。
比如她的语言能力为何高于平均水平?
她左额叶没有产生语言能力的部分,现在被什么能力利用?
另外EG还有一个姐姐与她情况相似,失去的是右颞叶但也能正常生活,这种先天脑区缺损是否与基因相关?
现在,EG和她的姐姐,包括大脑完整的父母和其他兄弟姐妹都参与了后续研究计划。
MIT团队下一步将研究缺失的脑区如何影响她的听力。
历史上,脑科学很多重要发现都是因为一些特殊案例才能取得突破。
比如颇具传奇色彩的菲尼亚斯·盖奇 (Phineas Gage),因在铁路工作时意外被铁棍穿透头颅,依然存活但性情大变。
由此科学家们发现了腹内侧前额叶皮层在情绪产生和控制上的作用。
这位化名EG的志愿者,或许也会成为科学史上一位重要人物。
最后,有网友看完这个故事后表示:
论文地址:https://www.sciencedirect.com/science/article/abs/pii/S0028393222000434
参考链接:[1]https://www.wired.co.uk/article/she-was-missing-a-chunk-of-her-brain-it-didnt-matter
— 完 —
「人工智能」、「智能汽车」微信社群邀你加入!
免责声明:上述内容仅代表发帖人个人观点,不构成本平台的任何投资建议。


