TaurusNXT临床研究进展顺利,干瓣预装载“非醛交联”经导管主动脉瓣系统挑战一例高冠脉风险TAVR手术

沛嘉医疗
2021-11-18

2021年11月15日上午,中南大学湘雅二医院周胜华教授团队的方臻飞、胡信群教授带领团队在心脏超声科、心外科等多学科团队的密切配合下,成功应用由沛嘉医疗自主研发的TaurusNXT“非醛交联”经导管主动脉瓣系统(干瓣预装载)为一位低EF、高冠脉风险、重度钙化的重度主动脉瓣狭窄患者完成TAVR手术。目前本中心已完成4例TaurusNXT临床试验入组,3例已完成30天初步随访,CT评估未见异常,无瓣中反流,血流动力学良好。

患者信息

患者为76岁女性,术前超声心动图提示主动脉瓣重度狭窄并轻度关闭不全、峰值流速 5.1m/s、平均跨瓣压差 71mmHg、有效瓣口面积 0.32cm²;双房增大,升主动脉瘤样扩张,左室后壁增厚;二尖瓣轻度反流、三尖瓣中度反流;LVEDd:49mm,LVEF:29%,左心功能减退。

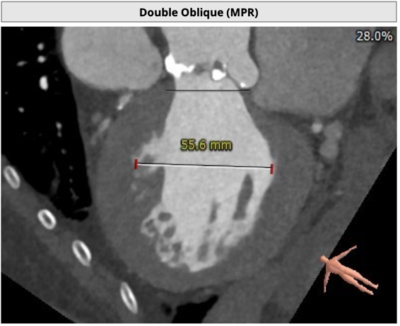
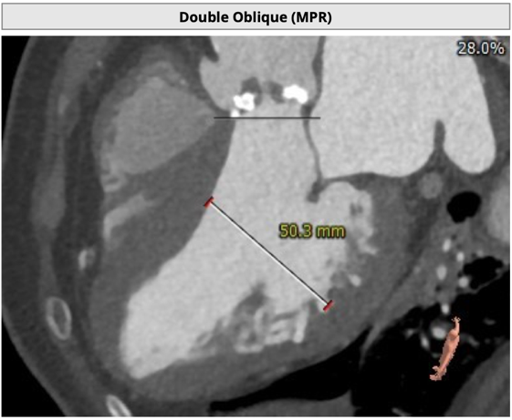
主动脉根部评估

CT 数据显示该患者为Type1型二叶式主动脉瓣

主动脉瓣瓣环周长76.8mm,周长径24.5mm;

LVOT 周长 86.1mm,周长径27.4mm;

SOV:32.3mm*34.5mm*33.7mm;

STJ 周长 100.6mm;

瓣叶严重粘连增厚,瓣叶钙化明显,HU850:1448.3mm³。

左冠开口高度8.6mm,右冠开口高度15.0mm,左冠高度偏低,左冠瓣瓣尖钙化明显,根据瓦氏窦内径和瓣叶长度综合判断,左冠存在较高堵塞风险;左心室后壁增厚。

血管外周入路评估

入路血管少量钙化无其他病变,双侧血管内径良好,整体入路血管条件良好。

病例特点

该患者为一例高冠脉风险的重度 AS 患者。

1 患者为Type1型二叶式主动脉瓣,右无融合并形成钙化嵴,瓣叶极重度钙化伴严重增厚粘连;

2 患者左冠开口偏低,左冠瓣瓣尖钙化,结合瓦氏窦内结构,存在较大左冠堵塞危险;

3 入路血管少量钙化无其他病变,双侧血管内径良好,整体入路血管条件良好。

TaurusNXT植入过程

手术采用22 mm TaurusAtlas球囊进行预扩,植入AV23TaurusNXT主动脉瓣。第一次释放后位置偏高,瓣膜完全回收。第二次释放到工作位,检测左右冠血流灌注情况,考虑左瓣叶的瓣尖钙化影响左冠脉血流,使用第二次回收后,预置LCA保护。之后再次释放瓣膜至工作位,在GuidezillaII支撑保护下送 4.0×18mm 支架至 LAD 近段,之后瓣膜精准释放,后用22mm TaurusAtlas球囊后扩。术后即刻经胸超声心动图评估显示少量瓣周漏,平均跨瓣压差为10mmHg,主动脉瓣口峰值流速为2.3m/s,有效瓣口面积为1.80cm²,血流动力学指标理想。

术中影像

主动脉根部造影可见重度钙化

22mm球囊预扩

瓣膜第一次释放

未达到最佳位置,完全回收

重心定位后,第二次释放到瓣膜工作位,发现LCA灌注缝隙狭小

预置LCA保护

完全回收,第三次定位释放,瓣膜位置良好

瓣膜工作位释放“烟囱支架”

瓣膜完全释放后22mm球囊后扩

释放后造影

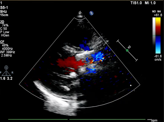
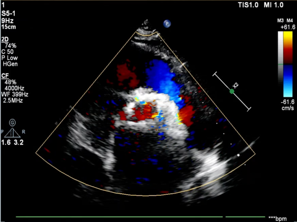
超声影像

血流动力学改善,瓣膜形态良好,少量瓣周漏

沛嘉自创立之初即潜心研究瓣叶处理技术,历经多年终实现技术的革命性突破。TaurusNXT经导管主动脉瓣系统,是沛嘉医疗第三代介入牛心包瓣膜,是全球首次将“非醛交联”瓣叶生物处理技术和超低温真空冻干处理技术应用于经导管主动脉瓣系统并顺利进入人体临床试验。和醛基封闭或醛基清洗技术不同,非醛瓣叶生物处理技术避免戊二醛处理瓣叶而残留的醛基所诱发的组织钙化,从机制上消除钙化的主要风险,并且应用全新的复合交联、除原体细胞、抗降解性能、病毒去活等技术,以期带来更优越的耐久性和更好的生物相容性,瓣叶在复水后即刻血液动力学指标良好。超低温真空冻干的瓣叶干式处理,完整保持瓣叶物理性能,同时实现瓣膜系统的预装载,减少植入前准备时间。TaurusNXT优化支架结构和输送系统,在瓣膜锚定、封堵、瓣口面积等血流动力学改善以及术者操控性等方面均有进一步的提升。

沛嘉医疗专注于结构心脏病介入治疗解决方案的自主研发与创新,以至善尽心、呵护生命为理念,致力于不断推出适合于中国患者惠及世界的高品质医疗产品,救治上千万心脏瓣膜疾病患者是我们不懈努力的方向。在中国,为中国,惠世界。


阅读原文
原文
免责声明:上述内容仅代表发帖人个人观点,不构成本平台的任何投资建议。

精彩评论

我们需要你的真知灼见来填补这片空白
发表看法