[原创]铢积寸累 行者常至 | 浙江大学医学院附属第二医院经导管主动脉瓣置换术规范化流程培训班圆满结束!

沛嘉医疗
2023-03-14

经导管主动脉瓣置换术(TAVR)是心脏病治疗史上一个里程碑式的改变,2022年是经导管主动脉瓣置换术(TAVR)诞生的第20个年头,随着器械的创新,技术的精进,循证医学的推动,TAVR在全球范围内快速推广,累计救治超过130万例患者。尤其是可回收系统的上市,临床学习曲线也不断在缩短,进一步推动了该术式的普及。

王建安教授寄语

随着TAVR术式的日益成熟,TAVR的快速发展追求着更高维度的技术水平。

2023年3月9日,由浙江大学医学院附属第二医院王建安教授团队主办,沛嘉医疗协办的经导管主动脉瓣置换术规范化流程培训班于杭州成功举办。在交流中寻发现,在实践中不断探寻。浙二团队毫无保留分享了TAVR开展经验,倾囊相授TAVR技术技巧,积极推动中国结构性心脏病的规范化培训及科普教育。

2022 TAVR最新进展及浙二瓣膜团队介绍

TAVR技术的诞生为患者带来了希望,如今随着技术的普及,越来越多的患者可以选择TAVR,TAVR也被应用于更多复杂病变病例之中。虽然TAVR的进步和增长迅速,但还存在一些证据的缺失,有待进一步探索。

刘先宝教授首先介绍了浙江大学医学院附属第二医院博奥院区(心脑血管病院区)的建设,首倡一站式心脑血管疾病多学科诊疗服务,提供一站式、个性化、全周期的心脑血管疾病解决方案。其次新中心开展TAVR过程,团队的建立至关重要,良好的心脏瓣膜团队建设、多学科通力协作,以及遵循指南的前提下,严格把握适应症的选择都是手术的成功与患者预后保障。

最后,TAVR领域经历了很多,也收获了很多,但目前临床TAVR治疗中仍有证据缺失,促使临床工作者继续在未来临床研究中探索新的方向。中国专家依然要在TAVR领域互相帮助、互相协作、互相学习,积累更多瓣膜置换的经验,为重症患者、复杂病变患者提供更好的临床治疗策略。

TAVR术中关键步骤操作技巧及注意事项

TAVR术前注意关键步骤的操作,可提高手术成功率,降低并发症发生。

胡泼教授就TAVR术中关键步骤操作要点及技巧进行了讲解。以股动脉穿刺为例,穿刺前详细阅读外周血管CTA图像,明确股深动脉和股浅动脉分叉位置,穿刺点无明显狭窄、斑块或钙化等情况。超声引导下穿刺可以更好避免血管并发症,同时为了手术安全,建议主辅入路都要做同样的穿刺要求。导丝跨瓣往往是TAVR术中的难点,首先根据术前瓣膜CT找到瓣口的区域,在术中根据血流对跨瓣器械的影响,佐证开口的区域,然后配合操作完成跨瓣。球囊扩张是TAVR手术的核心步骤,也是最考验团队配合的步骤。尤其中国患者二叶瓣概率比较高,瓣上结构往往需要结合球囊扩张来进一步判断。

可回收瓣膜释放技巧与工作位评估策略

可回收功能的出现进一步帮助临床术者缩短学习曲线,但如何兼顾器械的设计正确使用可回收功能,细化在可回收工作位的评估内容,真正体现可回收TAVR系统的价值,帮助临床进一步精细化TAVR手术操作,是目前临床需要解决的问题。

王力涵教授分享了可回收系统临床应用的5+1技巧&TaurusElite工作位评估CALM原则。把包括预释放、定位、释放至工作位、工作位评估、脱钩5个手术流程以及术中任意一步都可采用的可回收技巧。并特别强调了不同瓣膜其设计特点使得其释放特性、评估要点不尽相同。在可回收功能加持下通过Taurus瓣膜工作位评估CALM原则在术中进行更加充分全面评估,从而优化手术结果。

超声在TAVR中的应用

以超声为代表的无创心血管影像检查在拟行TAVR患者的围术期评估中起着至关重要的作用,为识别可获得最大受益的病人及确保手术安全完成提供了大量的关键信息。

林心平教授分享了在术前,超声仍是进行主动脉狭窄的诊断、评估、分型的主要手段,帮助明确诊断的同时评估严重程度,以及决定患者是否需要进一步干预治疗,尤其是急诊患者中,超声将会发挥更加重要的作用。

当然随着结构性心脏病介入领域的发展,利用3D TEE可在结构性心脏病微创介入手术中发挥重要作用,不仅提供术前、术中及术后的全面解决方案,还可帮助术者降低手术风险及难度,提高临床诊断信心和诊疗效率。

TAVR术前影像学分析:

风险点提示及策略制定

作为一种微创手术,TAVR手术的成功与否以及患者预后状况,很大程度上取决于术前方案,在国内外TAVR的术前评估方案中,CT是众多影像评估技术的核心。

范嘉祺教授就CT在TAVR术前评估及手术策略制定展开了深入讲解。TAVR术前CT评估主要包括:1、入路血管的评估选择入路方式;2、主动脉根部解剖的评估制定球囊、瓣膜选择策略;3、心室大小、冠状动脉阻挡风险等。4、相比西方国家,我国二叶瓣比较高,且产生严重钙化的比例也较高,以往根据瓣环选择瓣膜的策略可能带来风险。故针对国内患者的情况,需要术前更加精细的瓣上结构分析,并结合术中球扩,优化瓣膜选择策略,提高手术的安全性和有效性。

Step by Step 实战演绎

TAVR手术全流程

精彩的理论授课外,王建安教授团队通过一例复杂的TAVR手术演示,全面展示了Hangzhou Solution在评估瓣上结构,指导二叶瓣TAVR手术策略的应用,以及可回收系统在复杂病变中给临床带来的获益。

患者CT

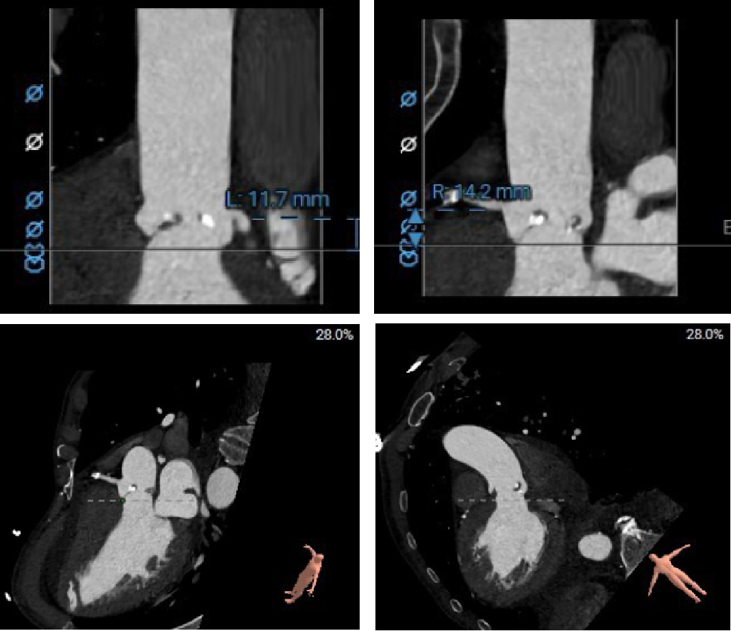
根部瓣上

根部VR

主动脉根部

冠脉及心室

外周入路

手术过程

超声引导穿刺

根部造影

导丝跨瓣

球囊预扩

瓣膜预释放及定位

瓣膜释放

瓣架对齐

工作位CALM原则评估瓣膜

  • 调整角度使得瓣架底边对齐(Alignment)后,多体位评估。

  • 瓣膜释放体位造影提示左右冠窦植入深度偏深,无冠窦处瓣膜形态(Morphology)有内凹,可能存在上跳风险。

  • 正交体位造影提示双侧冠脉(Coronary)灌注良好,瓣膜整体贴靠小弯侧,着陆区匹配、同轴性欠佳(landing Zone)。

  • CALM原则综合评估可能会有上跳风险,随予以回收调整。

部分回收

再次释放至工作位,进行CALM原则评估:植入深度、瓣膜形态、冠脉灌注均较为理想。但整体输送系统仍贴向小弯侧,着陆区不匹配,脱钩时需谨慎操作,避免瓣膜下滑。

最终造影

血流动力学检查

外周血管闭合

除了精彩细致的手术直播外,刘先宝教授、王力涵教授、胡泼教授、任凯达教授还通过手术过程,分享了急诊TAVR治疗过程及注意事项。

导管室参观

本次培训班除了细致的手术流程、理论讲课、答疑解惑外,专家们还共同参观了导管室,了解导管室软硬件布置等内容,更加贴近感受浙二瓣膜团队日常工作氛围。

大咖寄语

王建安教授:TAVR 手术的成功开展及顺利进行需要多学科合作,需要团队内部良好的配合,不断的磨炼,尤其是每个角色站在哪个位置、负责什么样的内容,大家都事先进行了一遍遍排练,各司其职。相信随着TAVR技术的发展与国内规范化教育的普及,未来适应证会不断拓展和指南推荐级别不断提高,保证更多主动脉瓣狭窄患者得到治疗的基础上,也让患者得到更好的治疗效果、远期预后。


文章原文
免责声明:上述内容仅代表发帖人个人观点,不构成本平台的任何投资建议。

精彩评论

发表看法
6