Riyadh Structural Heart | LuX-Valve Plus成功治疗一例伴永久性房颤及严重右心扩大的三尖瓣反流患者

健世科技
01-20

在结构性心脏病治疗领域,如何为高龄、合并多系统疾病且解剖结构复杂的三尖瓣反流(TR)患者提供安全、有效的治疗方案,始终是临床关注的重点。在本周末于沙特阿拉伯利雅得举办的 Riyadh Structural Heart 会议上,德国慕尼黑医院受邀展示一例LuX-Valve Plus经颈静脉三尖瓣置换术(TTVR)手术直播,手术过程流畅,结果优异,吸引了中东地区众多术者的关注和认可。

患者因严重三尖瓣反流、右心显著扩大并合并多种基础疾病,被评估为传统外科手术高风险人群。经多学科心脏团队充分讨论后,最终采用 LuX-Valve Plus 系统完成经颈静脉TTVR治疗,并取得良好的即刻临床效果。

患者基线情况

患者为一名81岁男性,术前TRI-Score评分为6分,属于外科高危人群,心功能分级 NYHA Ⅲ–Ⅳ级。既往病史包括:永久性房颤、慢性肾病、轻度肝损伤及轻度肺动脉高压。患者长期存在活动后呼吸困难、运动耐量明显下降及下肢水肿等右心衰竭相关症状。

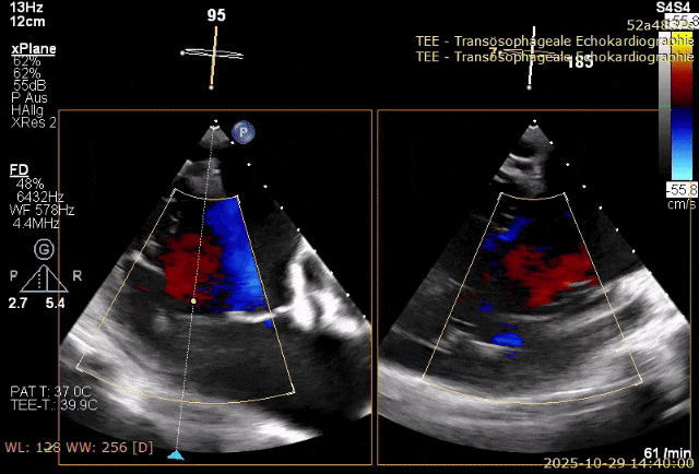
术前超声心动图提示三尖瓣反流达到torrential级别,反流主要源于右心房、三尖瓣环及右心室的显著扩张,对利尿剂等内科治疗反应不佳。综合患者整体状况及手术风险评估,心脏团队决定采用 LuX-Valve Plus 系统实施经颈静脉TTVR治疗。

术前超声提示:三尖瓣反流为torrential

术前评估与术前准备

术前CT提示三尖瓣环严重扩张,平均直径达55.4 mm,右心房平均直径67.6 mm。术前挑战主要集中在:1)永久性房颤所致的右心房和三尖瓣环严重扩大;2)该患者有两个后瓣叶,植入过程中夹持键件需避开两个后瓣叶中间的交界区域,并能准确抓取瓣叶;3)同时确保室间隔锚定键位置合适,以获得可靠锚定并维持瓣膜长期稳定性。

术前CT提示三尖瓣瓣环和右心房严重扩张,平均径达到55.4mm,右心房平均径为67.6mm

术中情况

术者团队选择 JS/TTVI-30-65 型号瓣膜,在经食道超声引导下顺利完成手术。LuX-Valve Plus 系统通过室间隔锚定与瓣叶夹持形成多重稳定锚定结构,全程不依赖径向支撑力,从而减少对周围组织的影响。

术中,团队充分发挥 LuX-Valve Plus五轴调向的系统优势,快速实现输送器与三尖瓣的同轴调整;同时借助系统的联动设计,在保持同轴性的基础上灵活调整植入深度,有效应对右心显著扩大的解剖挑战。

此外,LuX-Valve Plus 对术中影像质量依赖相对较低,锚定结构在影像下显示清晰,有助于术者精准操作。

术中,术者对手术策略和器械操作进行了细致的讲解,本例器械操作时间约30分钟;术者表示,LuX-Valve Plus能够覆盖大瓣环、术前有起搏导线的解剖结构,传导阻滞发生率相当低,带来巨大的临床获益。

术后即刻结果

术后即刻超声与DSA结果显示:人工瓣膜定位准确,术前为瀑布样反流,术后仅残存微量瓣周漏,未发生围手术期并发症。整体手术过程顺利,达到了预期治疗目标。

术后超声提示反流消失

本例成功展示了 LuX-Valve Plus系统在伴永久性房颤及严重右心扩大的三尖瓣反流患者中的应用潜力;该病例不仅为复杂解剖条件下的TTVR治疗提供了宝贵经验,也进一步验证了LuX-Valve Plus在结构性心脏病精准、微创治疗中的临床价值。此由德国向沙特进行的手术直播亦满足了中东地区术者对学习此术式的迫切期望,加强了LuX-Valve Plus术式全球学术交流的联动。

声明

本文披露内容仅作为学术交流之目的,在任何情况下均不得被视为医疗建议。我司对所有原创、转载、分享的内容的准确性、完整性或时效性不做任何陈述或保证。

文中所涉数据仅供参考,不能视为建议或推荐,以及要约或邀请。本材料以公开信息、内部开发的数据和来自其它具有可信度的第三方的信息为基础。但是,并不保证这些信息的完全可靠。所有的观点和看法基于材料撰写当日的判断,并随时有可能在不予通知的情况下进行调整。

本文提及的任何医疗器械,我司不对其在诊疗活动中的性能、临床表现等做任何承诺及保证。

$健世科技-B(09877)$

免责声明:上述内容仅代表发帖人个人观点,不构成本平台的任何投资建议。

精彩评论

我们需要你的真知灼见来填补这片空白
发表看法